
OK-UK Keramik
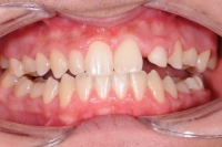
In diesem Fall war ein junger Mann nach abgeschlossener KFO-Behandlung mit dem ästhetischen Ergebnis nicht zufrieden.
Der Behandler entschloss sich dazu die Fehlstellung mithilfe von Veneers, Onlays in Presskeramik (e.maxPress) und einer Zirkonbrücke auszugleichen. Nach der Anfertigung eines Wax-Ups, konnte dem Patienten vorab schon einmal ein Provisorium eingegliedert werden, um ihn an die zukünftige Bisssituation zu gewöhnen.