Presse
Kontakt
Anfahrt
Startseite
Unsere Leistungen
Fallstudien
Über uns
Das Team
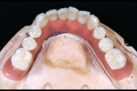
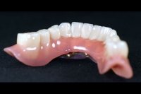
Beschreibung des Falls
UK Stegprothese, implantatgetragen.
Stege gefräst, Steghülsen aus Galvano-Gold (AGC-Wieland) . Die Kunststofffertigst ellung erfolgte mit Phonares-Zähnen.
Fallstudie #5