Beschreibung des Falls

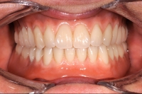
OK/UK Teleskope auf Implantaten der Firma"Astra Tee GmbH".

Jeweils distal wurde zur Sicherheit {Friktionsverlust) ein" MK 1l Steckriegel" eingebaut. Die Sekundärkronen sind aus Galvano-Gold ( AGC/Wieland). Nach Verklebung der Tertiärstruktur, erfolgte die Fertigstellung unter Verwendung von Phonares Zähnen und Kunststoff (mehrfarbig) von Candulor ( Ästhetik-Color Easy Set). Die Bilder sollen einen Eindruck über den enormen technischen Aufwand einer kompletten Restauration zeigen. Das Ergebnis war für alle Beteiligten sehr zufriedenstellend.

Fallstudie #1